A Pneumothorax or Collapsed Lung is a collection of free air in the chest outside the lung that causes the lung to collapse.
A pneumothorax or collapsed lung occurs when air gets inside the chest cavity (outside the lung) and creates pressure against the lung. Also known as pneumothorax, collapsed lung is a rare condition that may cause chest pain and make it hard to breathe. A collapsed lung requires immediate medical care.
In some instances, the lung continues to leak air into the chest cavity and results in compression of the chest structures, including vessels that return blood to the heart (tension pneumothorax).
Types of pneumothoraxes
There are five main types of pneumothoraxes:
1- Primary spontaneous pneumothorax
Collapsed lung sometimes happens in patients having no other lung problem. It can occur due to abnormal air sacs in the lungs that break apart and release air.
2- Secondary spontaneous pneumothorax
Several lung diseases may cause a collapsed lung for example, chronic obstructive pulmonary disease (COPD), cystic fibrosis and emphysema etc.
3- Injury-related pneumothorax
Injury to the chest can cause collapsed lung for example, due to a fractured rib, a hard hit to the chest or a knife or gunshot wound etc.
4- Iatrogenic pneumothorax
After certain medical procedures such as lung biopsy or a central venous line insertion, some patients can have complications that include a pneumothorax.
5- Catamenial pneumothorax
This rare condition affects women who have endometriosis. Endometrial tissue lines the uterus. With endometriosis, it grows outside the uterus and attaches to an area inside the chest. The endometrial tissue forms cysts that bleed into the pleural space, causing the lung to collapse.
Causes of Pneumothorax or Collapsed Lung
Pneumothorax has three main causes: medical conditions, injuries and lifestyle factors.
Medical conditions that may cause a collapsed lung include:
- Asthma.
- Pneumonia.
- Chronic obstructive pulmonary disease (COPD).
- Collagen vascular disease.
- Cystic fibrosis.
- Emphysema.
- Endometriosis in the chest.
- Idiopathic pulmonary fibrosis.
- Lung cancer.
- Lymphangioleiomyomatosis.
- Marfan syndrome.
- Tuberculosis.
- Acute respiratory distress syndrome (ARDS), a condition caused by pneumonia, coronavirus and other illnesses.
Injuries that may cause collapsed lung are:
- Blunt force trauma.
- Certain types of ventilation or changes to ventilation.
- Gunshot wound.
- Lung puncture during a medical procedure, like a biopsy or nerve block.
- Stab wound.
Lifestyle factors associated with collapsed lung are:
- Drug use, especially inhaled drugs.
- Flying that involves drastic changes in air pressure.
- Scuba or deep-sea diving.
- Smoking.
Certain other risk factors may be more likely to have a collapsed lung for example:
- Family history of pneumothorax.
- Pregnancy.
- Tall, thin body type.
Symptoms of Pneumothorax or Collapsed Lung
Signs of a collapsed lung include:
- Chest pain on one side especially when taking breaths.
- Cough.
- Fast breathing.
- Fast heart rate.
- Fatigue.
- Shortness of breath.
- Cyanosis.
Diagnosis
Ask your patient about his/her history of lung disease and perform a physical exam. Measure the level of certain gases in patient’s bloodstream by lab blood tests.
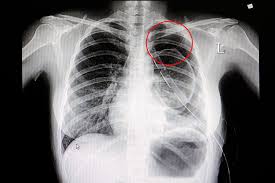
Advise chest X-ray, sometimes it’s necessary to advise a CT scan or ultrasound.
Allopathic treatment for Pneumothorax or Collapsed Lung
Treatment depends on the cause, size and severity of pneumothorax. Collapsed lung treatment may include:
Observation: If pneumothorax is minor, watch for signs of heart or breathing problems.
Supplemental oxygen: Give extra oxygen if pneumothorax is small but patient have symptoms. Watches to make sure the condition is stable.
Needle aspiration: During aspiration, a doctor uses a syringe to remove some of the air in the pleural space. A doctor also should follow needle aspiration with percutaneous chest tube drainage.
Chest tube drainage: If patient have a larger pneumothorax, put a hollow tube in patient’s chest to reduce the air in the pleural space. As the air pressure decreases, the lung re-expands, and patient feels comfort. Doctor may leave this tube in place for a couple of days or longer if needed.
Chemical pleurodesis: To prevent the lung from collapsing again, a doctor may perform pleurodesis (makes an incision and inserts a tube. Then use doxycycline or talc to attach the lung to the chest cavity, eliminating extra space in the chest cavity).
Surgery: Video-assisted thoracoscopic surgery (VATS) is a minimally invasive procedure that uses a small camera to help the surgeon remove lung tissue. Surgeon may also perform a chemical pleurodesis or a mechanical pleurodesis using a piece of gauze to attach the lung to the chest cavity.
Complications of pneumothorax
Although most pneumothorax or collapsed lungs heal without problems, serious complications do occur. These can include:
- Re-expansion pulmonary edema, when extra fluid is in the lungs.
- Damage or infection caused by the treatment.
- Inability to breathe.
- Heart failure.
- Death.
Homeopathic treatment for Pneumothorax or Collapsed Lung
Homeopathic approach to pneumothorax is very vide and more efficient then allopathic. There are numbers of Homeopathic medicines for pneumothorax and its causes for example:
Apis Melifica
Dyspnea, breathing hurried and difficult. Edema of larynx. Suffocation; short, dry cough, suprasternal. Hydrothorax. Pneumothorax. Sensation of soreness in the chest, as from a bruise. Oppression of the chest, shortness of breath, inability to remain in a warm room. Dull, aching pain in the chest, near the middle of the sternum. Sensation of fulness in the chest and short breath. Expectoration of copious, transparent, frothy, bloody mucus. Stitching pain in chest and through back. Burning, stinging pain through entire front of chest. Melting in region of diaphragm.
Aletris Ferinosa
Raises a good deal of froth. Want to cough and couldn’t. Tickling, short, dry, hard cough on waking, becoming spasmodic. Later, cough incessant, like whooping-cough; loses breath; cyanotic. Pneumothorax. Pulse irregular and intermittent.
China Officianalis
Cannot breathe with head low. Labored, slow respiration, constant choking. Pneumothorax. Suffocative catarrh; rattling in chest; violent, hacking cough after every meal. Sharp pain in lung – one or another. Asthma. Empyema.
Ferrum Phosphoricum
Congestions of lungs. Hemoptysis. Short, painful tickling cough. Croup. Hard, dry cough, with sore chest. Hoarseness. Expectoration of pure blood in pneumonia. Pleuritic stitch with a deep inspiration. Pneumothorax. Hemoptysis.
Jaborandi or Pilo carpus Microphylus
Bronchial mucous membrane inflamed. Inclination to cough and difficult breathing. Edema of lungs. Pneumothorax. Foamy sputa. Profuse, thin, serous expectoration. Slow, sighing respiration. Pulse irregular, dicrotic. Oppression of chest. Cyanosis; collapse.
Kali Carbonicum
Cutting pain in chest; worse lying on side. Palpitation and burning in heart region. Weak, rapid pulse; intermits, due to digestive disturbance. Threatened heart failure. Pneumothorax, whole chest is very sensitive. Expectoration scanty and tenacious but increasing in morning and after eating; aggravated right lower chest and lying on painful side. Hydrothorax. Leaning forward relieves chest symptoms. Expectoration must be swallowed; cheesy taste; copious, offensive, lump. Coldness of chest. Wheezing. Cough with relaxed uvula. Tendency to tuberculosis; constant cold taking; better in warm climate.
Kali Iodatum
Violent cough; worse in morning. Pulmonary oedema. Larynx feels raw. Laryngeal oedema. Awakes choking. Expectoration like soapsuds, greenish. Pneumonia, when hepatization commences. Pneumothorax. Stitching pains through lungs to back. Asthma. Dyspnea on ascending, with pain in chest. Respiration difficult. Hydrothorax. Pleuritic effusion. Cold travels downward to chest.
Alumen
Hemoptysis, great weakness of chest; difficult to expel mucus. Copious, ropy morning expectoration in old people. Asthma. Palpitation, from lying down on side. Pneumothorax.
Carbo Vegitablis
Cough with itching in larynx; spasmodic with gagging and vomiting of mucus. Whooping cough, especially in beginning. Deep, rough voice, failing on slight exertion. Hoarseness; worse, talking; evening oppression of breathing, sore and raw chest. Wheezing and rattling of mucus in chest. Occasional spells of long coughing attacks. Burning in chest; worse in evening, in open air, after eating and talking. Spasmodic cough, cyanotic face, offensive expectoration, neglected pneumonia. Pneumothorax or Collapsed Lung. Hemorrhage from lungs. Asthma in aged with cyanosis.
Senega
Hurts to talk. Bursting pain in back on coughing. Catarrh of larynx. Loss of voice. Hacking cough. Thorax feels too narrow. Cough often ends in a sneeze. Rattling in chest. Chest oppressed on ascending. Pneumothorax, with sore chest walls; much mucus; sensation of oppression and weight of chest. Difficult raising of tough, profuse mucus, in the aged. Asthenic bronchitis of old people with chronic interstitial nephritis or chronic emphysema. Old asthmatics with congestive attacks. Exudations in Pleura. Hydrothorax. Pressure on chest as though lungs were forced back to spine.
Phosphorus
Congestion of lungs. Burning pains, heat and oppression of chest. Tightness across chest; great weight on chest. Sharp stitches in chest; respiration quickened, oppressed. Heat in chest. Pneumonia, with oppression; worse, lying on left side. Pneumothorax. Whole body trembles, with cough. Sputa rusty, blood-colored, or purulent.
Tuberculosis. Repeated hemoptysis. Nervous coughs provoked by strong odors, entrance of a stranger; worse in the presence of strangers; worse lying upon left side; in cold room. Violent palpitation with anxiety, while lying on side. Pulse rapid, small, and soft. Heart dilated, especially right. Feeling of warmth in heart.
Antimonium Tartaricum
Rattling of mucus. Velvety feeling in chest. Burning sensation in chest, which ascends to throat. Rapid, short, difficult breathing; seems as if he would suffocate; must sit up. Emphysema of the aged. Pneumothorax or Collapsed Lung. Coughing and gaping consecutively. Bronchial tubes overloaded with mucus. Cough excited by eating, with pain in chest and larynx. Edema and impending paralysis of lungs. Palpitation, with uncomfortable hot feeling. Pulse rapid, weak, trembling. Dizziness, with cough. Dyspnea relieved by eructation. Cough and dyspnea better lying on right side.
Ipecacuanha
Dyspnea; constant constriction in chest. Asthma. Difficult shortness of breathing. Continued sneezing; coryza; wheezing cough. Cough incessant and violent, with every breath. Chest seems full of phlegm but does not yield to coughing. Bubbling rales. Suffocative cough: child becomes stiff, and blue in the face. Pneumothorax. Bleeding from lungs, with nausea; feeling of constriction; rattling cough. Croup. Hemoptysis from slightest exertion.
Bryonia Alba
Frequent desire to take a long breath; must expand lungs. Difficult, quick respiration; worse every movement; caused by stitches in chest. Cough, with feeling as if chest would fly to pieces; presses his head on sternum; must support chest. Croupous and pleuro-pneumonia. Expectoration brick shade, tough, and falls like lumps of jelly. Tough mucus in trachea, loosened only with much hawking. Pneumothorax. Heaviness beneath the sternum extending towards the right shoulder. Cough worse by going into warm room. Stitches in cardiac region. Painful stiffness in nape of neck. Stitches and stiffness in small of back.
Ammunium Carbonicum
Dyspnea, palpitation, burning in chest. Chest feels tired. Emphysema. Pneumothorax or Collapsed Lung. Much oppression in breathing; worse after any effort, and entering warm room, or ascending even a few steps. Asthenic Pneumonia. Slow labored, stertorous breathing; bubbling sound. Winter catarrh, with slimy sputum and specks of blood. Pulmonary oedema.
Audible palpitation with fear, cold sweat, lachrymation, inability to speak, loud breathing and trembling hands. Heart weak, wakes with difficult breathing and palpitation.
Amylenum Nitrosum
Dyspnea and asthmatic feelings. Great oppression and fullness of chest; spasmodic, suffocative cough. Precordial anxiety. Pneumothorax. Tumultuous action of heart. Pain and constriction around heart. Fluttering at slightest excitement.
Arsenicum Album
Unable to lie down, fears suffocation. Air-passages constricted. Asthma worse midnight. Burning in chest. Suffocative catarrh. Pneumothorax or Collapsed Lung; worse lying on back. Expectoration scanty, frothy. Darting pain through upper third of right lung. Wheezing respiration. Hemoptysis with pain between shoulders; burning heat all over. Palpitation, pain, dyspnea, faintness. Irritable heart. Pulse rapid. Dilatation. Cyanosis. Fatty degeneration. Angina pectoris, with pain in neck and occiput. Drawing in of shoulders. Pain and burning in back.
Outlook / Prognosis
Most people who have a collapsed lung generally heal without major treatment. If patient had a collapsed lung, with allopathic treatment patient have a higher chance of having it again that’s why it will be better to take proper Homeopathic medication to be treated permanently.
P. S: This article is only for doctors having good knowledge about Homeopathy and allopathy, for learning purpose(s).
For proper consultation and treatment, please visit our clinic.
None of above-mentioned medicine(s) is/are the full/complete treatment but just hints for treatment; every patient has his/her own constitutional medicine.
Dr. Sayyad Qaisar Ahmed (MD {Ukraine}, DHMS), Abdominal Surgeries, Oncological surgeries, Gastroenterologist, Specialist Homeopathic Medicines.
Senior research officer at Dnepropetrovsk state medical academy Ukraine.
Location: Al-Haytham clinic, Umer Farooq Chowk Risalpur Sadder (0923631023, 03119884588), K.P.K, Pakistan.
Find more about Dr Sayed Qaisar Ahmed at:
https://www.youtube.com/Dr Qaisar Ahmed
https://www.facebook.com/ahmed drqaisar




I like this post, enjoyed this one thanks for putting up.
would love to always get updated great website! .
😘
I truly love your website.. Excellent colors & theme. Did you make this website yourself? Please reply back as I’m attempting to create my very own blog and would love to find out where you got this from or just what the theme is called. Kudos!
Way cool! Some very valid points! I appreciate you penning this write-up and also the rest of the website is really good.
😁😘
yeah bookmaking this wasn’t a bad determination outstanding post! .
🌹🌹🌹😍
Thanks for your intriguing article. Other thing is that mesothelioma cancer is generally a result of the inhalation of material from mesothelioma, which is a very toxic material. It can be commonly noticed among workers in the building industry that have long experience of asbestos. It can also be caused by moving into asbestos protected buildings for a long time of time, Your age plays an important role, and some people are more vulnerable on the risk than others.
check this for mesothelioma… https://drqaisarahmed.com/mesothelioma-cancer/
Utterly written subject material, Really enjoyed examining.
Happy for you.😍
thanks to the author for taking his clock time on this one.
😎😎
Just a smiling visitant here to share the love (:, btw great pattern.
😍🌹🌹🌹
wohh precisely what I was searching for, thankyou for posting.
👁🗨
Thank you so much for providing individuals with an extremely pleasant opportunity to read articles and blog posts from this blog. It’s always so sweet and as well , jam-packed with fun for me personally and my office fellow workers to search your website really three times weekly to learn the latest secrets you have got. And indeed, I’m always satisfied for the incredible hints served by you. Certain 1 facts in this post are unequivocally the most impressive we have all ever had.
😎😊🌹🌹🌹
Hello there! Would you mind if I share your blog with my myspace group? There’s a lot of people that I think would really enjoy your content. Please let me know. Many thanks
excellent post, very informative. I wonder why the other experts of this sector don’t notice this. You should continue your writing. I’m sure, you have a great readers’ base already!
Hi! I’m at work surfing around your blog from my new iphone! Just wanted to say I love reading through your blog and look forward to all your posts! Carry on the excellent work!
I absolutely love your blog and find most of your post’s to be just what I’m looking for.
Would you offer guest writers to write content for
you personally? I wouldn’t mind publishing a post
or elaborating on a few of the subjects you write
concerning here. Again, awesome website!
Thanks for the good writeup. It in truth was once a amusement account it. Look advanced to far introduced agreeable from you! By the way, how could we keep in touch?
Wow! Thank you! I always needed to write on my site something like that. Can I take a part of your post to my site?
I found your weblog site on google and verify just a few of your early posts. Proceed to maintain up the very good operate. I just extra up your RSS feed to my MSN News Reader. Looking for ahead to studying extra from you afterward!?
Somebody essentially help to make seriously articles I would state. This is the first time I frequented your web page and thus far? I amazed with the research you made to make this particular publish incredible. Fantastic job!
I抳e read several good stuff here. Certainly worth bookmarking for revisiting. I surprise how much effort you put to create such a wonderful informative site.
Oh my goodness! an amazing article dude. Thanks Nevertheless I am experiencing concern with ur rss . Don抰 know why Unable to subscribe to it. Is there anybody getting an identical rss problem? Anybody who knows kindly respond. Thnkx
This design is incredible! You obviously know how to keep a reader entertained. Between your wit and your videos, I was almost moved to start my own blog (well, almost…HaHa!) Fantastic job. I really enjoyed what you had to say, and more than that, how you presented it. Too cool!
I抎 have to test with you here. Which isn’t one thing I often do! I enjoy reading a put up that can make individuals think. Additionally, thanks for allowing me to remark!
I will immediately grab your rss as I can not find your e-mail subscription link or newsletter service. Do you have any? Please let me know in order that I could subscribe. Thanks.
Heya i抦 for the first time here. I found this board and I find It really useful & it helped me out a lot. I hope to give something back and aid others like you aided me.
Thank you for the auspicious writeup. It in fact was a amusement account it. Look advanced to more added agreeable from you! However, how could we communicate?
An attention-grabbing dialogue is value comment. I think that you should write more on this matter, it might not be a taboo subject but generally persons are not sufficient to talk on such topics. To the next. Cheers
It’s a pity you don’t have a donate button! I’d definitely donate to this excellent blog! I suppose for now i’ll settle for book-marking and adding your RSS feed to my Google account. I look forward to fresh updates and will talk about this site with my Facebook group. Talk soon!
Hey! I just would like to give a huge thumbs up for the great info you’ve got here on this post. I shall be coming again to your weblog for extra soon.
I just could not depart your site prior to suggesting that I really enjoyed the standard information a person provide for your visitors? Is going to be back often to check up on new posts
I抦 not that much of a internet reader to be honest but your blogs really nice, keep it up! I’ll go ahead and bookmark your website to come back down the road. Many thanks
You completed some nice points there. I did a search on the subject matter and found a good number of folks will go along with with your blog.
You made a number of fine points there. I did a search on the subject matter and found the majority of people will have the same opinion with your blog.
I appreciate, cause I found exactly what I was looking for. You have ended my 4 day long hunt! God Bless you man. Have a great day. Bye
Well I really enjoyed studying it. This information provided by you is very effective for proper planning.